症例写真
セラミック矯正の症例写真
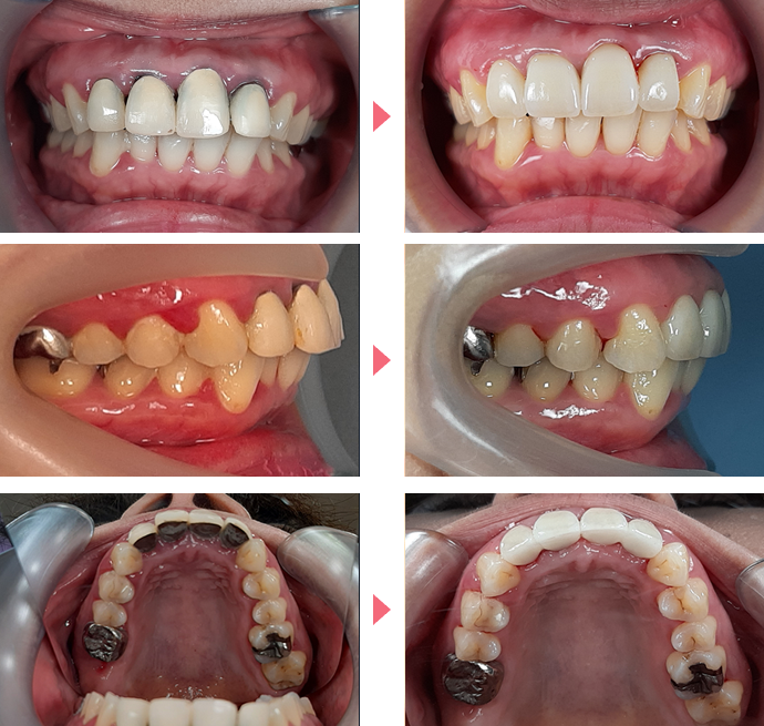
実際にセラミック治療を受けられた方の症例写真を掲載しています。治療をご検討の方はぜひご参考くださいませ。
上顎前突の治療
治療前
治療後
施術名:セラミック矯正
施術の説明:セラミック治療は形の悪い差し歯、被せ物を治したり、部分的な歯並びの矯正を行うことができる治療です。短期間で歯並びの改善まで実現することが可能です。
施術の副作用(リスク):疼痛・咬合時痛・冷水痛・抜歯を伴う場合は腫脹や出血などを生じる事があります。麻酔を行う場合、腫れやむくみを生じる事があります。セラミック・仮歯が欠けたり、外れる事があります。神経の治療や抜歯が必要な場合があります。また、歯並びが変わる事により違和感を生じる事があります。
施術の価格:1本 77,000円〜220,000円
治療前
治療後
施術名:セラミック矯正
施術の説明:セラミック治療は形の悪い差し歯、被せ物を治したり、部分的な歯並びの矯正を行うことができる治療です。短期間で歯並びの改善まで実現することが可能です。
施術の副作用(リスク):疼痛・咬合時痛・冷水痛・抜歯を伴う場合は腫脹や出血などを生じる事があります。麻酔を行う場合、腫れやむくみを生じる事があります。セラミック・仮歯が欠けたり、外れる事があります。神経の治療や抜歯が必要な場合があります。また、歯並びが変わる事により違和感を生じる事があります。
施術の価格:1本 77,000円〜220,000円
治療前
治療後
施術名:セラミック矯正
施術の説明:セラミック治療は形の悪い差し歯、被せ物を治したり、部分的な歯並びの矯正を行うことができる治療です。短期間で歯並びの改善まで実現することが可能です。
施術の副作用(リスク):疼痛・咬合時痛・冷水痛・抜歯を伴う場合は腫脹や出血などを生じる事があります。麻酔を行う場合、腫れやむくみを生じる事があります。セラミック・仮歯が欠けたり、外れる事があります。神経の治療や抜歯が必要な場合があります。また、歯並びが変わる事により違和感を生じる事があります。
施術の価格:1本 77,000円〜220,000円
治療前
治療後
施術名:セラミック矯正
施術の説明:セラミック治療は形の悪い差し歯、被せ物を治したり、部分的な歯並びの矯正を行うことができる治療です。短期間で歯並びの改善まで実現することが可能です。
施術の副作用(リスク):疼痛・咬合時痛・冷水痛・抜歯を伴う場合は腫脹や出血などを生じる事があります。麻酔を行う場合、腫れやむくみを生じる事があります。セラミック・仮歯が欠けたり、外れる事があります。神経の治療や抜歯が必要な場合があります。また、歯並びが変わる事により違和感を生じる事があります。
施術の価格:1本 77,000円〜220,000円
治療前
治療後
施術名:セラミック矯正
施術の説明:セラミック治療は形の悪い差し歯、被せ物を治したり、部分的な歯並びの矯正を行うことができる治療です。短期間で歯並びの改善まで実現することが可能です。
施術の副作用(リスク):疼痛・咬合時痛・冷水痛・抜歯を伴う場合は腫脹や出血などを生じる事があります。麻酔を行う場合、腫れやむくみを生じる事があります。セラミック・仮歯が欠けたり、外れる事があります。神経の治療や抜歯が必要な場合があります。また、歯並びが変わる事により違和感を生じる事があります。
施術の価格:1本 77,000円〜220,000円
治療前
治療後
施術名:セラミック矯正
施術の説明:セラミック治療は形の悪い差し歯、被せ物を治したり、部分的な歯並びの矯正を行うことができる治療です。短期間で歯並びの改善まで実現することが可能です。
施術の副作用(リスク):疼痛・咬合時痛・冷水痛・抜歯を伴う場合は腫脹や出血などを生じる事があります。麻酔を行う場合、腫れやむくみを生じる事があります。セラミック・仮歯が欠けたり、外れる事があります。神経の治療や抜歯が必要な場合があります。また、歯並びが変わる事により違和感を生じる事があります。
施術の価格:1本 77,000円〜220,000円
治療前
治療後
施術名:セラミック矯正
施術の説明:セラミック治療は形の悪い差し歯、被せ物を治したり、部分的な歯並びの矯正を行うことができる治療です。短期間で歯並びの改善まで実現することが可能です。
施術の副作用(リスク):疼痛・咬合時痛・冷水痛・抜歯を伴う場合は腫脹や出血などを生じる事があります。麻酔を行う場合、腫れやむくみを生じる事があります。セラミック・仮歯が欠けたり、外れる事があります。神経の治療や抜歯が必要な場合があります。また、歯並びが変わる事により違和感を生じる事があります。
施術の価格:1本 77,000円〜220,000円
治療前
治療後
施術名:セラミック矯正
施術の説明:セラミック治療は形の悪い差し歯、被せ物を治したり、部分的な歯並びの矯正を行うことができる治療です。短期間で歯並びの改善まで実現することが可能です。
施術の副作用(リスク):疼痛・咬合時痛・冷水痛・抜歯を伴う場合は腫脹や出血などを生じる事があります。麻酔を行う場合、腫れやむくみを生じる事があります。セラミック・仮歯が欠けたり、外れる事があります。神経の治療や抜歯が必要な場合があります。また、歯並びが変わる事により違和感を生じる事があります。
施術の価格:1本 77,000円〜220,000円
治療前
治療後
施術名:セラミック矯正
施術の説明:セラミック治療は形の悪い差し歯、被せ物を治したり、部分的な歯並びの矯正を行うことができる治療です。短期間で歯並びの改善まで実現することが可能です。
施術の副作用(リスク):疼痛・咬合時痛・冷水痛・抜歯を伴う場合は腫脹や出血などを生じる事があります。麻酔を行う場合、腫れやむくみを生じる事があります。セラミック・仮歯が欠けたり、外れる事があります。神経の治療や抜歯が必要な場合があります。また、歯並びが変わる事により違和感を生じる事があります。
施術の価格:1本 77,000円〜220,000円
受け口の治療
治療前
治療後
施術名:セラミック矯正
施術の説明:セラミック治療は形の悪い差し歯、被せ物を治したり、部分的な歯並びの矯正を行うことができる治療です。短期間で歯並びの改善まで実現することが可能です。
施術の副作用(リスク):疼痛・咬合時痛・冷水痛・抜歯を伴う場合は腫脹や出血などを生じる事があります。麻酔を行う場合、腫れやむくみを生じる事があります。セラミック・仮歯が欠けたり、外れる事があります。神経の治療や抜歯が必要な場合があります。また、歯並びが変わる事により違和感を生じる事があります。
施術の価格:1本 77,000円〜220,000円
治療前
治療後
施術名:セラミック矯正
施術の説明:セラミック治療は形の悪い差し歯、被せ物を治したり、部分的な歯並びの矯正を行うことができる治療です。短期間で歯並びの改善まで実現することが可能です。
施術の副作用(リスク):疼痛・咬合時痛・冷水痛・抜歯を伴う場合は腫脹や出血などを生じる事があります。麻酔を行う場合、腫れやむくみを生じる事があります。セラミック・仮歯が欠けたり、外れる事があります。神経の治療や抜歯が必要な場合があります。また、歯並びが変わる事により違和感を生じる事があります。
施術の価格:1本 77,000円〜220,000円
治療前
治療後
施術名:セラミック矯正
施術の説明:セラミック治療は形の悪い差し歯、被せ物を治したり、部分的な歯並びの矯正を行うことができる治療です。短期間で歯並びの改善まで実現することが可能です。
施術の副作用(リスク):疼痛・咬合時痛・冷水痛・抜歯を伴う場合は腫脹や出血などを生じる事があります。麻酔を行う場合、腫れやむくみを生じる事があります。セラミック・仮歯が欠けたり、外れる事があります。神経の治療や抜歯が必要な場合があります。また、歯並びが変わる事により違和感を生じる事があります。
施術の価格:1本 77,000円〜220,000円
治療前
治療後
施術名:セラミック矯正
施術の説明:セラミック治療は形の悪い差し歯、被せ物を治したり、部分的な歯並びの矯正を行うことができる治療です。短期間で歯並びの改善まで実現することが可能です。
施術の副作用(リスク):疼痛・咬合時痛・冷水痛・抜歯を伴う場合は腫脹や出血などを生じる事があります。麻酔を行う場合、腫れやむくみを生じる事があります。セラミック・仮歯が欠けたり、外れる事があります。神経の治療や抜歯が必要な場合があります。また、歯並びが変わる事により違和感を生じる事があります。
施術の価格:1本 77,000円〜220,000円
治療前
治療後
施術名:セラミック矯正
施術の説明:セラミック治療は形の悪い差し歯、被せ物を治したり、部分的な歯並びの矯正を行うことができる治療です。短期間で歯並びの改善まで実現することが可能です。
施術の副作用(リスク):疼痛・咬合時痛・冷水痛・抜歯を伴う場合は腫脹や出血などを生じる事があります。麻酔を行う場合、腫れやむくみを生じる事があります。セラミック・仮歯が欠けたり、外れる事があります。神経の治療や抜歯が必要な場合があります。また、歯並びが変わる事により違和感を生じる事があります。
施術の価格:1本 77,000円〜220,000円
側切歯口蓋側転移・形態不全の治療
治療前
治療後
施術名:セラミック矯正
施術の説明:セラミック治療は形の悪い差し歯、被せ物を治したり、部分的な歯並びの矯正を行うことができる治療です。短期間で歯並びの改善まで実現することが可能です。
施術の副作用(リスク):疼痛・咬合時痛・冷水痛・抜歯を伴う場合は腫脹や出血などを生じる事があります。麻酔を行う場合、腫れやむくみを生じる事があります。セラミック・仮歯が欠けたり、外れる事があります。神経の治療や抜歯が必要な場合があります。また、歯並びが変わる事により違和感を生じる事があります。
施術の価格:1本 77,000円〜220,000円
治療前
治療後
施術名:セラミック矯正
施術の説明:セラミック治療は形の悪い差し歯、被せ物を治したり、部分的な歯並びの矯正を行うことができる治療です。短期間で歯並びの改善まで実現することが可能です。
施術の副作用(リスク):疼痛・咬合時痛・冷水痛・抜歯を伴う場合は腫脹や出血などを生じる事があります。麻酔を行う場合、腫れやむくみを生じる事があります。セラミック・仮歯が欠けたり、外れる事があります。神経の治療や抜歯が必要な場合があります。また、歯並びが変わる事により違和感を生じる事があります。
施術の価格:1本 77,000円〜220,000円
治療前
治療後
施術名:セラミック矯正
施術の説明:セラミック治療は形の悪い差し歯、被せ物を治したり、部分的な歯並びの矯正を行うことができる治療です。短期間で歯並びの改善まで実現することが可能です。
施術の副作用(リスク):疼痛・咬合時痛・冷水痛・抜歯を伴う場合は腫脹や出血などを生じる事があります。麻酔を行う場合、腫れやむくみを生じる事があります。セラミック・仮歯が欠けたり、外れる事があります。神経の治療や抜歯が必要な場合があります。また、歯並びが変わる事により違和感を生じる事があります。
施術の価格:1本 77,000円〜220,000円
治療前
治療後
施術名:セラミック矯正
施術の説明:セラミック治療は形の悪い差し歯、被せ物を治したり、部分的な歯並びの矯正を行うことができる治療です。短期間で歯並びの改善まで実現することが可能です。
施術の副作用(リスク):疼痛・咬合時痛・冷水痛・抜歯を伴う場合は腫脹や出血などを生じる事があります。麻酔を行う場合、腫れやむくみを生じる事があります。セラミック・仮歯が欠けたり、外れる事があります。神経の治療や抜歯が必要な場合があります。また、歯並びが変わる事により違和感を生じる事があります。
施術の価格:1本 77,000円〜220,000円
治療前
治療後
施術名:セラミック矯正
施術の説明:セラミック治療は形の悪い差し歯、被せ物を治したり、部分的な歯並びの矯正を行うことができる治療です。短期間で歯並びの改善まで実現することが可能です。
施術の副作用(リスク):疼痛・咬合時痛・冷水痛・抜歯を伴う場合は腫脹や出血などを生じる事があります。麻酔を行う場合、腫れやむくみを生じる事があります。セラミック・仮歯が欠けたり、外れる事があります。神経の治療や抜歯が必要な場合があります。また、歯並びが変わる事により違和感を生じる事があります。
施術の価格:1本 77,000円〜220,000円
治療前
治療後
施術名:セラミック矯正
施術の説明:セラミック治療は形の悪い差し歯、被せ物を治したり、部分的な歯並びの矯正を行うことができる治療です。短期間で歯並びの改善まで実現することが可能です。
施術の副作用(リスク):疼痛・咬合時痛・冷水痛・抜歯を伴う場合は腫脹や出血などを生じる事があります。麻酔を行う場合、腫れやむくみを生じる事があります。セラミック・仮歯が欠けたり、外れる事があります。神経の治療や抜歯が必要な場合があります。また、歯並びが変わる事により違和感を生じる事があります。
施術の価格:1本 77,000円〜220,000円
治療前
治療後
施術名:セラミック矯正
施術の説明:セラミック治療は形の悪い差し歯、被せ物を治したり、部分的な歯並びの矯正を行うことができる治療です。短期間で歯並びの改善まで実現することが可能です。
施術の副作用(リスク):疼痛・咬合時痛・冷水痛・抜歯を伴う場合は腫脹や出血などを生じる事があります。麻酔を行う場合、腫れやむくみを生じる事があります。セラミック・仮歯が欠けたり、外れる事があります。神経の治療や抜歯が必要な場合があります。また、歯並びが変わる事により違和感を生じる事があります。
施術の価格:1本 77,000円〜220,000円
治療前
治療後
施術名:セラミック矯正
施術の説明:セラミック治療は形の悪い差し歯、被せ物を治したり、部分的な歯並びの矯正を行うことができる治療です。短期間で歯並びの改善まで実現することが可能です。
施術の副作用(リスク):疼痛・咬合時痛・冷水痛・抜歯を伴う場合は腫脹や出血などを生じる事があります。麻酔を行う場合、腫れやむくみを生じる事があります。セラミック・仮歯が欠けたり、外れる事があります。神経の治療や抜歯が必要な場合があります。また、歯並びが変わる事により違和感を生じる事があります。
施術の価格:1本 77,000円〜220,000円
治療前
治療後
施術名:セラミック矯正
施術の説明:セラミック治療は形の悪い差し歯、被せ物を治したり、部分的な歯並びの矯正を行うことができる治療です。短期間で歯並びの改善まで実現することが可能です。
施術の副作用(リスク):疼痛・咬合時痛・冷水痛・抜歯を伴う場合は腫脹や出血などを生じる事があります。麻酔を行う場合、腫れやむくみを生じる事があります。セラミック・仮歯が欠けたり、外れる事があります。神経の治療や抜歯が必要な場合があります。また、歯並びが変わる事により違和感を生じる事があります。
施術の価格:1本 77,000円〜220,000円
治療前
治療後
施術名:セラミック矯正
施術の説明:セラミック治療は形の悪い差し歯、被せ物を治したり、部分的な歯並びの矯正を行うことができる治療です。短期間で歯並びの改善まで実現することが可能です。
施術の副作用(リスク):疼痛・咬合時痛・冷水痛・抜歯を伴う場合は腫脹や出血などを生じる事があります。麻酔を行う場合、腫れやむくみを生じる事があります。セラミック・仮歯が欠けたり、外れる事があります。神経の治療や抜歯が必要な場合があります。また、歯並びが変わる事により違和感を生じる事があります。
施術の価格:1本 77,000円〜220,000円
治療前
治療後
施術名:セラミック矯正
施術の説明:セラミック治療は形の悪い差し歯、被せ物を治したり、部分的な歯並びの矯正を行うことができる治療です。短期間で歯並びの改善まで実現することが可能です。
施術の副作用(リスク):疼痛・咬合時痛・冷水痛・抜歯を伴う場合は腫脹や出血などを生じる事があります。麻酔を行う場合、腫れやむくみを生じる事があります。セラミック・仮歯が欠けたり、外れる事があります。神経の治療や抜歯が必要な場合があります。また、歯並びが変わる事により違和感を生じる事があります。
施術の価格:1本 77,000円〜220,000円
治療前
治療後
施術名:セラミック矯正
施術の説明:セラミック治療は形の悪い差し歯、被せ物を治したり、部分的な歯並びの矯正を行うことができる治療です。短期間で歯並びの改善まで実現することが可能です。
施術の副作用(リスク):疼痛・咬合時痛・冷水痛・抜歯を伴う場合は腫脹や出血などを生じる事があります。麻酔を行う場合、腫れやむくみを生じる事があります。セラミック・仮歯が欠けたり、外れる事があります。神経の治療や抜歯が必要な場合があります。また、歯並びが変わる事により違和感を生じる事があります。
施術の価格:1本 77,000円〜220,000円
治療前
治療後
施術名:セラミック矯正
施術の説明:セラミック治療は形の悪い差し歯、被せ物を治したり、部分的な歯並びの矯正を行うことができる治療です。短期間で歯並びの改善まで実現することが可能です。
施術の副作用(リスク):疼痛・咬合時痛・冷水痛・抜歯を伴う場合は腫脹や出血などを生じる事があります。麻酔を行う場合、腫れやむくみを生じる事があります。セラミック・仮歯が欠けたり、外れる事があります。神経の治療や抜歯が必要な場合があります。また、歯並びが変わる事により違和感を生じる事があります。
施術の価格:1本 77,000円〜220,000円
治療前
治療後
施術名:セラミック矯正
施術の説明:セラミック治療は形の悪い差し歯、被せ物を治したり、部分的な歯並びの矯正を行うことができる治療です。短期間で歯並びの改善まで実現することが可能です。
施術の副作用(リスク):疼痛・咬合時痛・冷水痛・抜歯を伴う場合は腫脹や出血などを生じる事があります。麻酔を行う場合、腫れやむくみを生じる事があります。セラミック・仮歯が欠けたり、外れる事があります。神経の治療や抜歯が必要な場合があります。また、歯並びが変わる事により違和感を生じる事があります。
施術の価格:1本 77,000円〜220,000円
治療前
治療後
施術名:セラミック矯正
施術の説明:セラミック治療は形の悪い差し歯、被せ物を治したり、部分的な歯並びの矯正を行うことができる治療です。短期間で歯並びの改善まで実現することが可能です。
施術の副作用(リスク):疼痛・咬合時痛・冷水痛・抜歯を伴う場合は腫脹や出血などを生じる事があります。麻酔を行う場合、腫れやむくみを生じる事があります。セラミック・仮歯が欠けたり、外れる事があります。神経の治療や抜歯が必要な場合があります。また、歯並びが変わる事により違和感を生じる事があります。
施術の価格:1本 77,000円〜220,000円
治療前
治療後
施術名:セラミック矯正
施術の説明:セラミック治療は形の悪い差し歯、被せ物を治したり、部分的な歯並びの矯正を行うことができる治療です。短期間で歯並びの改善まで実現することが可能です。
施術の副作用(リスク):疼痛・咬合時痛・冷水痛・抜歯を伴う場合は腫脹や出血などを生じる事があります。麻酔を行う場合、腫れやむくみを生じる事があります。セラミック・仮歯が欠けたり、外れる事があります。神経の治療や抜歯が必要な場合があります。また、歯並びが変わる事により違和感を生じる事があります。
施術の価格:1本 77,000円〜220,000円
治療前
治療後
施術名:セラミック矯正
施術の説明:セラミック治療は形の悪い差し歯、被せ物を治したり、部分的な歯並びの矯正を行うことができる治療です。短期間で歯並びの改善まで実現することが可能です。
施術の副作用(リスク):疼痛・咬合時痛・冷水痛・抜歯を伴う場合は腫脹や出血などを生じる事があります。麻酔を行う場合、腫れやむくみを生じる事があります。セラミック・仮歯が欠けたり、外れる事があります。神経の治療や抜歯が必要な場合があります。また、歯並びが変わる事により違和感を生じる事があります。
施術の価格:1本 77,000円〜220,000円
歯の変色の治療
治療前
治療後
施術名:セラミック矯正
施術の説明:セラミック治療は形の悪い差し歯、被せ物を治したり、部分的な歯並びの矯正を行うことができる治療です。短期間で歯並びの改善まで実現することが可能です。
施術の副作用(リスク):疼痛・咬合時痛・冷水痛・抜歯を伴う場合は腫脹や出血などを生じる事があります。麻酔を行う場合、腫れやむくみを生じる事があります。セラミック・仮歯が欠けたり、外れる事があります。神経の治療や抜歯が必要な場合があります。また、歯並びが変わる事により違和感を生じる事があります。
施術の価格:1本 77,000円〜220,000円
治療前
治療後
施術名:セラミック矯正
施術の説明:セラミック治療は形の悪い差し歯、被せ物を治したり、部分的な歯並びの矯正を行うことができる治療です。短期間で歯並びの改善まで実現することが可能です。
施術の副作用(リスク):疼痛・咬合時痛・冷水痛・抜歯を伴う場合は腫脹や出血などを生じる事があります。麻酔を行う場合、腫れやむくみを生じる事があります。セラミック・仮歯が欠けたり、外れる事があります。神経の治療や抜歯が必要な場合があります。また、歯並びが変わる事により違和感を生じる事があります。
施術の価格:1本 77,000円〜220,000円
治療前
治療後
施術名:セラミック矯正
施術の説明:セラミック治療は形の悪い差し歯、被せ物を治したり、部分的な歯並びの矯正を行うことができる治療です。短期間で歯並びの改善まで実現することが可能です。
施術の副作用(リスク):疼痛・咬合時痛・冷水痛・抜歯を伴う場合は腫脹や出血などを生じる事があります。麻酔を行う場合、腫れやむくみを生じる事があります。セラミック・仮歯が欠けたり、外れる事があります。神経の治療や抜歯が必要な場合があります。また、歯並びが変わる事により違和感を生じる事があります。
施術の価格:1本 77,000円〜220,000円
治療前
治療後
施術名:セラミック矯正
施術の説明:セラミック治療は形の悪い差し歯、被せ物を治したり、部分的な歯並びの矯正を行うことができる治療です。短期間で歯並びの改善まで実現することが可能です。
施術の副作用(リスク):疼痛・咬合時痛・冷水痛・抜歯を伴う場合は腫脹や出血などを生じる事があります。麻酔を行う場合、腫れやむくみを生じる事があります。セラミック・仮歯が欠けたり、外れる事があります。神経の治療や抜歯が必要な場合があります。また、歯並びが変わる事により違和感を生じる事があります。
施術の価格:1本 77,000円〜220,000円
治療前
治療後
施術名:セラミック矯正
施術の説明:セラミック治療は形の悪い差し歯、被せ物を治したり、部分的な歯並びの矯正を行うことができる治療です。短期間で歯並びの改善まで実現することが可能です。
施術の副作用(リスク):疼痛・咬合時痛・冷水痛・抜歯を伴う場合は腫脹や出血などを生じる事があります。麻酔を行う場合、腫れやむくみを生じる事があります。セラミック・仮歯が欠けたり、外れる事があります。神経の治療や抜歯が必要な場合があります。また、歯並びが変わる事により違和感を生じる事があります。
施術の価格:1本 77,000円〜220,000円
インビザライン・システムの症例写真
症例①:インビザライン・システムの治療
実際にインビザライン治療を受けられた方の症例写真を掲載しています。治療をご検討の方はぜひご参考くださいませ。
治療前
治療後(11ヶ月)
施術名:マウスピース矯正
施術の説明:歯科矯正でも目立ちにくい新しい矯正方法です。透明に近いマウスピース型の矯正装置(アライナー)のため、歯に装着しても目立つことなく歯並びを矯正することが出来ます。また、一人ひとりの合わせて矯正装置を作製いたします。
施術の副作用(リスク):疼痛・咬合時痛を生じる事があります。継続使用により緩んだり、外れやすくなる事があります。割れたり壊れたりする事があります。
施術の価格:427,600円~822,800円
治療前
治療後(16ヶ月)
施術名:マウスピース矯正
施術の説明:歯科矯正でも目立ちにくい新しい矯正方法です。透明に近いマウスピース型の矯正装置(アライナー)のため、歯に装着しても目立つことなく歯並びを矯正することが出来ます。また、一人ひとりの合わせて矯正装置を作製いたします。
施術の副作用(リスク):疼痛・咬合時痛を生じる事があります。継続使用により緩んだり、外れやすくなる事があります。割れたり壊れたりする事があります。
施術の価格:427,600円~822,800円
治療前
治療後(8ヶ月)
施術名:マウスピース矯正
施術の説明:歯科矯正でも目立ちにくい新しい矯正方法です。透明に近いマウスピース型の矯正装置(アライナー)のため、歯に装着しても目立つことなく歯並びを矯正することが出来ます。また、一人ひとりの合わせて矯正装置を作製いたします。
施術の副作用(リスク):疼痛・咬合時痛を生じる事があります。継続使用により緩んだり、外れやすくなる事があります。割れたり壊れたりする事があります。
施術の価格:427,600円~822,800円
治療前
治療後(8ヶ月)
施術名:マウスピース矯正
施術の説明:歯科矯正でも目立ちにくい新しい矯正方法です。透明に近いマウスピース型の矯正装置(アライナー)のため、歯に装着しても目立つことなく歯並びを矯正することが出来ます。また、一人ひとりの合わせて矯正装置を作製いたします。
施術の副作用(リスク):疼痛・咬合時痛を生じる事があります。継続使用により緩んだり、外れやすくなる事があります。割れたり壊れたりする事があります。
施術の価格:427,600円~822,800円
治療前
治療後(8ヶ月)
施術名:マウスピース矯正
施術の説明:歯科矯正でも目立ちにくい新しい矯正方法です。透明に近いマウスピース型の矯正装置(アライナー)のため、歯に装着しても目立つことなく歯並びを矯正することが出来ます。また、一人ひとりの合わせて矯正装置を作製いたします。
施術の副作用(リスク):疼痛・咬合時痛を生じる事があります。継続使用により緩んだり、外れやすくなる事があります。割れたり壊れたりする事があります。
施術の価格:427,600円~822,800円
治療前
治療後(8ヶ月)
施術名:マウスピース矯正
施術の説明:歯科矯正でも目立ちにくい新しい矯正方法です。透明に近いマウスピース型の矯正装置(アライナー)のため、歯に装着しても目立つことなく歯並びを矯正することが出来ます。また、一人ひとりの合わせて矯正装置を作製いたします。
施術の副作用(リスク):疼痛・咬合時痛を生じる事があります。継続使用により緩んだり、外れやすくなる事があります。割れたり壊れたりする事があります。
施術の価格:427,600円~822,800円
治療前
治療後(8ヶ月)
施術名:マウスピース矯正
施術の説明:歯科矯正でも目立ちにくい新しい矯正方法です。透明に近いマウスピース型の矯正装置(アライナー)のため、歯に装着しても目立つことなく歯並びを矯正することが出来ます。また、一人ひとりの合わせて矯正装置を作製いたします。
施術の副作用(リスク):疼痛・咬合時痛を生じる事があります。継続使用により緩んだり、外れやすくなる事があります。割れたり壊れたりする事があります。
施術の価格:427,600円~822,800円
治療前
治療後(8ヶ月)
施術名:マウスピース矯正
施術の説明:歯科矯正でも目立ちにくい新しい矯正方法です。透明に近いマウスピース型の矯正装置(アライナー)のため、歯に装着しても目立つことなく歯並びを矯正することが出来ます。また、一人ひとりの合わせて矯正装置を作製いたします。
施術の副作用(リスク):疼痛・咬合時痛を生じる事があります。継続使用により緩んだり、外れやすくなる事があります。割れたり壊れたりする事があります。
施術の価格:427,600円~822,800円
治療前
治療後(8ヶ月)
施術名:マウスピース矯正
施術の説明:歯科矯正でも目立ちにくい新しい矯正方法です。透明に近いマウスピース型の矯正装置(アライナー)のため、歯に装着しても目立つことなく歯並びを矯正することが出来ます。また、一人ひとりの合わせて矯正装置を作製いたします。
施術の副作用(リスク):疼痛・咬合時痛を生じる事があります。継続使用により緩んだり、外れやすくなる事があります。割れたり壊れたりする事があります。
施術の価格:427,600円~822,800円
実際にセラミック治療を受けられた方の症例写真を掲載しています。治療をご検討の方はぜひご参考くださいませ。
上顎前突の治療
治療前
治療後
施術名:セラミック矯正
施術の説明:セラミック治療は形の悪い差し歯、被せ物を治したり、部分的な歯並びの矯正を行うことができる治療です。短期間で歯並びの改善まで実現することが可能です。
施術の副作用(リスク):疼痛・咬合時痛・冷水痛・抜歯を伴う場合は腫脹や出血などを生じる事があります。麻酔を行う場合、腫れやむくみを生じる事があります。セラミック・仮歯が欠けたり、外れる事があります。神経の治療や抜歯が必要な場合があります。また、歯並びが変わる事により違和感を生じる事があります。
施術の価格:1本 77,000円〜220,000円
治療前
治療後
施術名:セラミック矯正
施術の説明:セラミック治療は形の悪い差し歯、被せ物を治したり、部分的な歯並びの矯正を行うことができる治療です。短期間で歯並びの改善まで実現することが可能です。
施術の副作用(リスク):疼痛・咬合時痛・冷水痛・抜歯を伴う場合は腫脹や出血などを生じる事があります。麻酔を行う場合、腫れやむくみを生じる事があります。セラミック・仮歯が欠けたり、外れる事があります。神経の治療や抜歯が必要な場合があります。また、歯並びが変わる事により違和感を生じる事があります。
施術の価格:1本 77,000円〜220,000円
治療前
治療後
施術名:セラミック矯正
施術の説明:セラミック治療は形の悪い差し歯、被せ物を治したり、部分的な歯並びの矯正を行うことができる治療です。短期間で歯並びの改善まで実現することが可能です。
施術の副作用(リスク):疼痛・咬合時痛・冷水痛・抜歯を伴う場合は腫脹や出血などを生じる事があります。麻酔を行う場合、腫れやむくみを生じる事があります。セラミック・仮歯が欠けたり、外れる事があります。神経の治療や抜歯が必要な場合があります。また、歯並びが変わる事により違和感を生じる事があります。
施術の価格:1本 77,000円〜220,000円
治療前
治療後
施術名:セラミック矯正
施術の説明:セラミック治療は形の悪い差し歯、被せ物を治したり、部分的な歯並びの矯正を行うことができる治療です。短期間で歯並びの改善まで実現することが可能です。
施術の副作用(リスク):疼痛・咬合時痛・冷水痛・抜歯を伴う場合は腫脹や出血などを生じる事があります。麻酔を行う場合、腫れやむくみを生じる事があります。セラミック・仮歯が欠けたり、外れる事があります。神経の治療や抜歯が必要な場合があります。また、歯並びが変わる事により違和感を生じる事があります。
施術の価格:1本 77,000円〜220,000円
治療前
治療後
施術名:セラミック矯正
施術の説明:セラミック治療は形の悪い差し歯、被せ物を治したり、部分的な歯並びの矯正を行うことができる治療です。短期間で歯並びの改善まで実現することが可能です。
施術の副作用(リスク):疼痛・咬合時痛・冷水痛・抜歯を伴う場合は腫脹や出血などを生じる事があります。麻酔を行う場合、腫れやむくみを生じる事があります。セラミック・仮歯が欠けたり、外れる事があります。神経の治療や抜歯が必要な場合があります。また、歯並びが変わる事により違和感を生じる事があります。
施術の価格:1本 77,000円〜220,000円
治療前
治療後
施術名:セラミック矯正
施術の説明:セラミック治療は形の悪い差し歯、被せ物を治したり、部分的な歯並びの矯正を行うことができる治療です。短期間で歯並びの改善まで実現することが可能です。
施術の副作用(リスク):疼痛・咬合時痛・冷水痛・抜歯を伴う場合は腫脹や出血などを生じる事があります。麻酔を行う場合、腫れやむくみを生じる事があります。セラミック・仮歯が欠けたり、外れる事があります。神経の治療や抜歯が必要な場合があります。また、歯並びが変わる事により違和感を生じる事があります。
施術の価格:1本 77,000円〜220,000円
治療前
治療後
施術名:セラミック矯正
施術の説明:セラミック治療は形の悪い差し歯、被せ物を治したり、部分的な歯並びの矯正を行うことができる治療です。短期間で歯並びの改善まで実現することが可能です。
施術の副作用(リスク):疼痛・咬合時痛・冷水痛・抜歯を伴う場合は腫脹や出血などを生じる事があります。麻酔を行う場合、腫れやむくみを生じる事があります。セラミック・仮歯が欠けたり、外れる事があります。神経の治療や抜歯が必要な場合があります。また、歯並びが変わる事により違和感を生じる事があります。
施術の価格:1本 77,000円〜220,000円
治療前
治療後
施術名:セラミック矯正
施術の説明:セラミック治療は形の悪い差し歯、被せ物を治したり、部分的な歯並びの矯正を行うことができる治療です。短期間で歯並びの改善まで実現することが可能です。
施術の副作用(リスク):疼痛・咬合時痛・冷水痛・抜歯を伴う場合は腫脹や出血などを生じる事があります。麻酔を行う場合、腫れやむくみを生じる事があります。セラミック・仮歯が欠けたり、外れる事があります。神経の治療や抜歯が必要な場合があります。また、歯並びが変わる事により違和感を生じる事があります。
施術の価格:1本 77,000円〜220,000円
治療前
治療後
施術名:セラミック矯正
施術の説明:セラミック治療は形の悪い差し歯、被せ物を治したり、部分的な歯並びの矯正を行うことができる治療です。短期間で歯並びの改善まで実現することが可能です。
施術の副作用(リスク):疼痛・咬合時痛・冷水痛・抜歯を伴う場合は腫脹や出血などを生じる事があります。麻酔を行う場合、腫れやむくみを生じる事があります。セラミック・仮歯が欠けたり、外れる事があります。神経の治療や抜歯が必要な場合があります。また、歯並びが変わる事により違和感を生じる事があります。
施術の価格:1本 77,000円〜220,000円
受け口の治療
治療前
治療後
施術名:セラミック矯正
施術の説明:セラミック治療は形の悪い差し歯、被せ物を治したり、部分的な歯並びの矯正を行うことができる治療です。短期間で歯並びの改善まで実現することが可能です。
施術の副作用(リスク):疼痛・咬合時痛・冷水痛・抜歯を伴う場合は腫脹や出血などを生じる事があります。麻酔を行う場合、腫れやむくみを生じる事があります。セラミック・仮歯が欠けたり、外れる事があります。神経の治療や抜歯が必要な場合があります。また、歯並びが変わる事により違和感を生じる事があります。
施術の価格:1本 77,000円〜220,000円
治療前
治療後
施術名:セラミック矯正
施術の説明:セラミック治療は形の悪い差し歯、被せ物を治したり、部分的な歯並びの矯正を行うことができる治療です。短期間で歯並びの改善まで実現することが可能です。
施術の副作用(リスク):疼痛・咬合時痛・冷水痛・抜歯を伴う場合は腫脹や出血などを生じる事があります。麻酔を行う場合、腫れやむくみを生じる事があります。セラミック・仮歯が欠けたり、外れる事があります。神経の治療や抜歯が必要な場合があります。また、歯並びが変わる事により違和感を生じる事があります。
施術の価格:1本 77,000円〜220,000円
治療前
治療後
施術名:セラミック矯正
施術の説明:セラミック治療は形の悪い差し歯、被せ物を治したり、部分的な歯並びの矯正を行うことができる治療です。短期間で歯並びの改善まで実現することが可能です。
施術の副作用(リスク):疼痛・咬合時痛・冷水痛・抜歯を伴う場合は腫脹や出血などを生じる事があります。麻酔を行う場合、腫れやむくみを生じる事があります。セラミック・仮歯が欠けたり、外れる事があります。神経の治療や抜歯が必要な場合があります。また、歯並びが変わる事により違和感を生じる事があります。
施術の価格:1本 77,000円〜220,000円
治療前
治療後
施術名:セラミック矯正
施術の説明:セラミック治療は形の悪い差し歯、被せ物を治したり、部分的な歯並びの矯正を行うことができる治療です。短期間で歯並びの改善まで実現することが可能です。
施術の副作用(リスク):疼痛・咬合時痛・冷水痛・抜歯を伴う場合は腫脹や出血などを生じる事があります。麻酔を行う場合、腫れやむくみを生じる事があります。セラミック・仮歯が欠けたり、外れる事があります。神経の治療や抜歯が必要な場合があります。また、歯並びが変わる事により違和感を生じる事があります。
施術の価格:1本 77,000円〜220,000円
治療前
治療後
施術名:セラミック矯正
施術の説明:セラミック治療は形の悪い差し歯、被せ物を治したり、部分的な歯並びの矯正を行うことができる治療です。短期間で歯並びの改善まで実現することが可能です。
施術の副作用(リスク):疼痛・咬合時痛・冷水痛・抜歯を伴う場合は腫脹や出血などを生じる事があります。麻酔を行う場合、腫れやむくみを生じる事があります。セラミック・仮歯が欠けたり、外れる事があります。神経の治療や抜歯が必要な場合があります。また、歯並びが変わる事により違和感を生じる事があります。
施術の価格:1本 77,000円〜220,000円
側切歯口蓋側転移・形態不全の治療
治療前
治療後
施術名:セラミック矯正
施術の説明:セラミック治療は形の悪い差し歯、被せ物を治したり、部分的な歯並びの矯正を行うことができる治療です。短期間で歯並びの改善まで実現することが可能です。
施術の副作用(リスク):疼痛・咬合時痛・冷水痛・抜歯を伴う場合は腫脹や出血などを生じる事があります。麻酔を行う場合、腫れやむくみを生じる事があります。セラミック・仮歯が欠けたり、外れる事があります。神経の治療や抜歯が必要な場合があります。また、歯並びが変わる事により違和感を生じる事があります。
施術の価格:1本 77,000円〜220,000円
治療前
治療後
施術名:セラミック矯正
施術の説明:セラミック治療は形の悪い差し歯、被せ物を治したり、部分的な歯並びの矯正を行うことができる治療です。短期間で歯並びの改善まで実現することが可能です。
施術の副作用(リスク):疼痛・咬合時痛・冷水痛・抜歯を伴う場合は腫脹や出血などを生じる事があります。麻酔を行う場合、腫れやむくみを生じる事があります。セラミック・仮歯が欠けたり、外れる事があります。神経の治療や抜歯が必要な場合があります。また、歯並びが変わる事により違和感を生じる事があります。
施術の価格:1本 77,000円〜220,000円
治療前
治療後
施術名:セラミック矯正
施術の説明:セラミック治療は形の悪い差し歯、被せ物を治したり、部分的な歯並びの矯正を行うことができる治療です。短期間で歯並びの改善まで実現することが可能です。
施術の副作用(リスク):疼痛・咬合時痛・冷水痛・抜歯を伴う場合は腫脹や出血などを生じる事があります。麻酔を行う場合、腫れやむくみを生じる事があります。セラミック・仮歯が欠けたり、外れる事があります。神経の治療や抜歯が必要な場合があります。また、歯並びが変わる事により違和感を生じる事があります。
施術の価格:1本 77,000円〜220,000円
治療前
治療後
施術名:セラミック矯正
施術の説明:セラミック治療は形の悪い差し歯、被せ物を治したり、部分的な歯並びの矯正を行うことができる治療です。短期間で歯並びの改善まで実現することが可能です。
施術の副作用(リスク):疼痛・咬合時痛・冷水痛・抜歯を伴う場合は腫脹や出血などを生じる事があります。麻酔を行う場合、腫れやむくみを生じる事があります。セラミック・仮歯が欠けたり、外れる事があります。神経の治療や抜歯が必要な場合があります。また、歯並びが変わる事により違和感を生じる事があります。
施術の価格:1本 77,000円〜220,000円
治療前
治療後
施術名:セラミック矯正
施術の説明:セラミック治療は形の悪い差し歯、被せ物を治したり、部分的な歯並びの矯正を行うことができる治療です。短期間で歯並びの改善まで実現することが可能です。
施術の副作用(リスク):疼痛・咬合時痛・冷水痛・抜歯を伴う場合は腫脹や出血などを生じる事があります。麻酔を行う場合、腫れやむくみを生じる事があります。セラミック・仮歯が欠けたり、外れる事があります。神経の治療や抜歯が必要な場合があります。また、歯並びが変わる事により違和感を生じる事があります。
施術の価格:1本 77,000円〜220,000円
治療前
治療後
施術名:セラミック矯正
施術の説明:セラミック治療は形の悪い差し歯、被せ物を治したり、部分的な歯並びの矯正を行うことができる治療です。短期間で歯並びの改善まで実現することが可能です。
施術の副作用(リスク):疼痛・咬合時痛・冷水痛・抜歯を伴う場合は腫脹や出血などを生じる事があります。麻酔を行う場合、腫れやむくみを生じる事があります。セラミック・仮歯が欠けたり、外れる事があります。神経の治療や抜歯が必要な場合があります。また、歯並びが変わる事により違和感を生じる事があります。
施術の価格:1本 77,000円〜220,000円
治療前
治療後
施術名:セラミック矯正
施術の説明:セラミック治療は形の悪い差し歯、被せ物を治したり、部分的な歯並びの矯正を行うことができる治療です。短期間で歯並びの改善まで実現することが可能です。
施術の副作用(リスク):疼痛・咬合時痛・冷水痛・抜歯を伴う場合は腫脹や出血などを生じる事があります。麻酔を行う場合、腫れやむくみを生じる事があります。セラミック・仮歯が欠けたり、外れる事があります。神経の治療や抜歯が必要な場合があります。また、歯並びが変わる事により違和感を生じる事があります。
施術の価格:1本 77,000円〜220,000円
治療前
治療後
施術名:セラミック矯正
施術の説明:セラミック治療は形の悪い差し歯、被せ物を治したり、部分的な歯並びの矯正を行うことができる治療です。短期間で歯並びの改善まで実現することが可能です。
施術の副作用(リスク):疼痛・咬合時痛・冷水痛・抜歯を伴う場合は腫脹や出血などを生じる事があります。麻酔を行う場合、腫れやむくみを生じる事があります。セラミック・仮歯が欠けたり、外れる事があります。神経の治療や抜歯が必要な場合があります。また、歯並びが変わる事により違和感を生じる事があります。
施術の価格:1本 77,000円〜220,000円
治療前
治療後
施術名:セラミック矯正
施術の説明:セラミック治療は形の悪い差し歯、被せ物を治したり、部分的な歯並びの矯正を行うことができる治療です。短期間で歯並びの改善まで実現することが可能です。
施術の副作用(リスク):疼痛・咬合時痛・冷水痛・抜歯を伴う場合は腫脹や出血などを生じる事があります。麻酔を行う場合、腫れやむくみを生じる事があります。セラミック・仮歯が欠けたり、外れる事があります。神経の治療や抜歯が必要な場合があります。また、歯並びが変わる事により違和感を生じる事があります。
施術の価格:1本 77,000円〜220,000円
治療前
治療後
施術名:セラミック矯正
施術の説明:セラミック治療は形の悪い差し歯、被せ物を治したり、部分的な歯並びの矯正を行うことができる治療です。短期間で歯並びの改善まで実現することが可能です。
施術の副作用(リスク):疼痛・咬合時痛・冷水痛・抜歯を伴う場合は腫脹や出血などを生じる事があります。麻酔を行う場合、腫れやむくみを生じる事があります。セラミック・仮歯が欠けたり、外れる事があります。神経の治療や抜歯が必要な場合があります。また、歯並びが変わる事により違和感を生じる事があります。
施術の価格:1本 77,000円〜220,000円
治療前
治療後
施術名:セラミック矯正
施術の説明:セラミック治療は形の悪い差し歯、被せ物を治したり、部分的な歯並びの矯正を行うことができる治療です。短期間で歯並びの改善まで実現することが可能です。
施術の副作用(リスク):疼痛・咬合時痛・冷水痛・抜歯を伴う場合は腫脹や出血などを生じる事があります。麻酔を行う場合、腫れやむくみを生じる事があります。セラミック・仮歯が欠けたり、外れる事があります。神経の治療や抜歯が必要な場合があります。また、歯並びが変わる事により違和感を生じる事があります。
施術の価格:1本 77,000円〜220,000円
治療前
治療後
施術名:セラミック矯正
施術の説明:セラミック治療は形の悪い差し歯、被せ物を治したり、部分的な歯並びの矯正を行うことができる治療です。短期間で歯並びの改善まで実現することが可能です。
施術の副作用(リスク):疼痛・咬合時痛・冷水痛・抜歯を伴う場合は腫脹や出血などを生じる事があります。麻酔を行う場合、腫れやむくみを生じる事があります。セラミック・仮歯が欠けたり、外れる事があります。神経の治療や抜歯が必要な場合があります。また、歯並びが変わる事により違和感を生じる事があります。
施術の価格:1本 77,000円〜220,000円
治療前
治療後
施術名:セラミック矯正
施術の説明:セラミック治療は形の悪い差し歯、被せ物を治したり、部分的な歯並びの矯正を行うことができる治療です。短期間で歯並びの改善まで実現することが可能です。
施術の副作用(リスク):疼痛・咬合時痛・冷水痛・抜歯を伴う場合は腫脹や出血などを生じる事があります。麻酔を行う場合、腫れやむくみを生じる事があります。セラミック・仮歯が欠けたり、外れる事があります。神経の治療や抜歯が必要な場合があります。また、歯並びが変わる事により違和感を生じる事があります。
施術の価格:1本 77,000円〜220,000円
治療前
治療後
施術名:セラミック矯正
施術の説明:セラミック治療は形の悪い差し歯、被せ物を治したり、部分的な歯並びの矯正を行うことができる治療です。短期間で歯並びの改善まで実現することが可能です。
施術の副作用(リスク):疼痛・咬合時痛・冷水痛・抜歯を伴う場合は腫脹や出血などを生じる事があります。麻酔を行う場合、腫れやむくみを生じる事があります。セラミック・仮歯が欠けたり、外れる事があります。神経の治療や抜歯が必要な場合があります。また、歯並びが変わる事により違和感を生じる事があります。
施術の価格:1本 77,000円〜220,000円
治療前
治療後
施術名:セラミック矯正
施術の説明:セラミック治療は形の悪い差し歯、被せ物を治したり、部分的な歯並びの矯正を行うことができる治療です。短期間で歯並びの改善まで実現することが可能です。
施術の副作用(リスク):疼痛・咬合時痛・冷水痛・抜歯を伴う場合は腫脹や出血などを生じる事があります。麻酔を行う場合、腫れやむくみを生じる事があります。セラミック・仮歯が欠けたり、外れる事があります。神経の治療や抜歯が必要な場合があります。また、歯並びが変わる事により違和感を生じる事があります。
施術の価格:1本 77,000円〜220,000円
治療前
治療後
施術名:セラミック矯正
施術の説明:セラミック治療は形の悪い差し歯、被せ物を治したり、部分的な歯並びの矯正を行うことができる治療です。短期間で歯並びの改善まで実現することが可能です。
施術の副作用(リスク):疼痛・咬合時痛・冷水痛・抜歯を伴う場合は腫脹や出血などを生じる事があります。麻酔を行う場合、腫れやむくみを生じる事があります。セラミック・仮歯が欠けたり、外れる事があります。神経の治療や抜歯が必要な場合があります。また、歯並びが変わる事により違和感を生じる事があります。
施術の価格:1本 77,000円〜220,000円
治療前
治療後
施術名:セラミック矯正
施術の説明:セラミック治療は形の悪い差し歯、被せ物を治したり、部分的な歯並びの矯正を行うことができる治療です。短期間で歯並びの改善まで実現することが可能です。
施術の副作用(リスク):疼痛・咬合時痛・冷水痛・抜歯を伴う場合は腫脹や出血などを生じる事があります。麻酔を行う場合、腫れやむくみを生じる事があります。セラミック・仮歯が欠けたり、外れる事があります。神経の治療や抜歯が必要な場合があります。また、歯並びが変わる事により違和感を生じる事があります。
施術の価格:1本 77,000円〜220,000円
歯の変色の治療
治療前
治療後
施術名:セラミック矯正
施術の説明:セラミック治療は形の悪い差し歯、被せ物を治したり、部分的な歯並びの矯正を行うことができる治療です。短期間で歯並びの改善まで実現することが可能です。
施術の副作用(リスク):疼痛・咬合時痛・冷水痛・抜歯を伴う場合は腫脹や出血などを生じる事があります。麻酔を行う場合、腫れやむくみを生じる事があります。セラミック・仮歯が欠けたり、外れる事があります。神経の治療や抜歯が必要な場合があります。また、歯並びが変わる事により違和感を生じる事があります。
施術の価格:1本 77,000円〜220,000円
治療前
治療後
施術名:セラミック矯正
施術の説明:セラミック治療は形の悪い差し歯、被せ物を治したり、部分的な歯並びの矯正を行うことができる治療です。短期間で歯並びの改善まで実現することが可能です。
施術の副作用(リスク):疼痛・咬合時痛・冷水痛・抜歯を伴う場合は腫脹や出血などを生じる事があります。麻酔を行う場合、腫れやむくみを生じる事があります。セラミック・仮歯が欠けたり、外れる事があります。神経の治療や抜歯が必要な場合があります。また、歯並びが変わる事により違和感を生じる事があります。
施術の価格:1本 77,000円〜220,000円
治療前
治療後
施術名:セラミック矯正
施術の説明:セラミック治療は形の悪い差し歯、被せ物を治したり、部分的な歯並びの矯正を行うことができる治療です。短期間で歯並びの改善まで実現することが可能です。
施術の副作用(リスク):疼痛・咬合時痛・冷水痛・抜歯を伴う場合は腫脹や出血などを生じる事があります。麻酔を行う場合、腫れやむくみを生じる事があります。セラミック・仮歯が欠けたり、外れる事があります。神経の治療や抜歯が必要な場合があります。また、歯並びが変わる事により違和感を生じる事があります。
施術の価格:1本 77,000円〜220,000円
治療前
治療後
施術名:セラミック矯正
施術の説明:セラミック治療は形の悪い差し歯、被せ物を治したり、部分的な歯並びの矯正を行うことができる治療です。短期間で歯並びの改善まで実現することが可能です。
施術の副作用(リスク):疼痛・咬合時痛・冷水痛・抜歯を伴う場合は腫脹や出血などを生じる事があります。麻酔を行う場合、腫れやむくみを生じる事があります。セラミック・仮歯が欠けたり、外れる事があります。神経の治療や抜歯が必要な場合があります。また、歯並びが変わる事により違和感を生じる事があります。
施術の価格:1本 77,000円〜220,000円
治療前
治療後
施術名:セラミック矯正
施術の説明:セラミック治療は形の悪い差し歯、被せ物を治したり、部分的な歯並びの矯正を行うことができる治療です。短期間で歯並びの改善まで実現することが可能です。
施術の副作用(リスク):疼痛・咬合時痛・冷水痛・抜歯を伴う場合は腫脹や出血などを生じる事があります。麻酔を行う場合、腫れやむくみを生じる事があります。セラミック・仮歯が欠けたり、外れる事があります。神経の治療や抜歯が必要な場合があります。また、歯並びが変わる事により違和感を生じる事があります。
施術の価格:1本 77,000円〜220,000円
インビザライン・システムの症例写真
症例①:インビザライン・システムの治療
治療前 治療後
施術名:セラミック矯正
施術の説明:セラミック治療は形の悪い差し歯、被せ物を治したり、部分的な歯並びの矯正を行うことができる治療です。短期間で歯並びの改善まで実現することが可能です。
施術の副作用(リスク):疼痛・咬合時痛・冷水痛・抜歯を伴う場合は腫脹や出血などを生じる事があります。麻酔を行う場合、腫れやむくみを生じる事があります。セラミック・仮歯が欠けたり、外れる事があります。神経の治療や抜歯が必要な場合があります。また、歯並びが変わる事により違和感を生じる事があります。
施術の価格:1本 77,000円〜220,000円
治療前 治療後
施術名:セラミック矯正
施術の説明:セラミック治療は形の悪い差し歯、被せ物を治したり、部分的な歯並びの矯正を行うことができる治療です。短期間で歯並びの改善まで実現することが可能です。
施術の副作用(リスク):疼痛・咬合時痛・冷水痛・抜歯を伴う場合は腫脹や出血などを生じる事があります。麻酔を行う場合、腫れやむくみを生じる事があります。セラミック・仮歯が欠けたり、外れる事があります。神経の治療や抜歯が必要な場合があります。また、歯並びが変わる事により違和感を生じる事があります。
施術の価格:1本 77,000円〜220,000円
治療前 治療後
施術名:セラミック矯正
施術の説明:セラミック治療は形の悪い差し歯、被せ物を治したり、部分的な歯並びの矯正を行うことができる治療です。短期間で歯並びの改善まで実現することが可能です。
施術の副作用(リスク):疼痛・咬合時痛・冷水痛・抜歯を伴う場合は腫脹や出血などを生じる事があります。麻酔を行う場合、腫れやむくみを生じる事があります。セラミック・仮歯が欠けたり、外れる事があります。神経の治療や抜歯が必要な場合があります。また、歯並びが変わる事により違和感を生じる事があります。
施術の価格:1本 77,000円〜220,000円
治療前 治療後
施術名:セラミック矯正
施術の説明:セラミック治療は形の悪い差し歯、被せ物を治したり、部分的な歯並びの矯正を行うことができる治療です。短期間で歯並びの改善まで実現することが可能です。
施術の副作用(リスク):疼痛・咬合時痛・冷水痛・抜歯を伴う場合は腫脹や出血などを生じる事があります。麻酔を行う場合、腫れやむくみを生じる事があります。セラミック・仮歯が欠けたり、外れる事があります。神経の治療や抜歯が必要な場合があります。また、歯並びが変わる事により違和感を生じる事があります。
施術の価格:1本 77,000円〜220,000円
治療前 治療後
施術名:セラミック矯正
施術の説明:セラミック治療は形の悪い差し歯、被せ物を治したり、部分的な歯並びの矯正を行うことができる治療です。短期間で歯並びの改善まで実現することが可能です。
施術の副作用(リスク):疼痛・咬合時痛・冷水痛・抜歯を伴う場合は腫脹や出血などを生じる事があります。麻酔を行う場合、腫れやむくみを生じる事があります。セラミック・仮歯が欠けたり、外れる事があります。神経の治療や抜歯が必要な場合があります。また、歯並びが変わる事により違和感を生じる事があります。
施術の価格:1本 77,000円〜220,000円
治療前 治療後
施術名:セラミック矯正
施術の説明:セラミック治療は形の悪い差し歯、被せ物を治したり、部分的な歯並びの矯正を行うことができる治療です。短期間で歯並びの改善まで実現することが可能です。
施術の副作用(リスク):疼痛・咬合時痛・冷水痛・抜歯を伴う場合は腫脹や出血などを生じる事があります。麻酔を行う場合、腫れやむくみを生じる事があります。セラミック・仮歯が欠けたり、外れる事があります。神経の治療や抜歯が必要な場合があります。また、歯並びが変わる事により違和感を生じる事があります。
施術の価格:1本 77,000円〜220,000円
治療前 治療後
施術名:セラミック矯正
施術の説明:セラミック治療は形の悪い差し歯、被せ物を治したり、部分的な歯並びの矯正を行うことができる治療です。短期間で歯並びの改善まで実現することが可能です。
施術の副作用(リスク):疼痛・咬合時痛・冷水痛・抜歯を伴う場合は腫脹や出血などを生じる事があります。麻酔を行う場合、腫れやむくみを生じる事があります。セラミック・仮歯が欠けたり、外れる事があります。神経の治療や抜歯が必要な場合があります。また、歯並びが変わる事により違和感を生じる事があります。
施術の価格:1本 77,000円〜220,000円
治療前 治療後
施術名:セラミック矯正
施術の説明:セラミック治療は形の悪い差し歯、被せ物を治したり、部分的な歯並びの矯正を行うことができる治療です。短期間で歯並びの改善まで実現することが可能です。
施術の副作用(リスク):疼痛・咬合時痛・冷水痛・抜歯を伴う場合は腫脹や出血などを生じる事があります。麻酔を行う場合、腫れやむくみを生じる事があります。セラミック・仮歯が欠けたり、外れる事があります。神経の治療や抜歯が必要な場合があります。また、歯並びが変わる事により違和感を生じる事があります。
施術の価格:1本 77,000円〜220,000円
治療前 治療後
施術名:セラミック矯正
施術の説明:セラミック治療は形の悪い差し歯、被せ物を治したり、部分的な歯並びの矯正を行うことができる治療です。短期間で歯並びの改善まで実現することが可能です。
施術の副作用(リスク):疼痛・咬合時痛・冷水痛・抜歯を伴う場合は腫脹や出血などを生じる事があります。麻酔を行う場合、腫れやむくみを生じる事があります。セラミック・仮歯が欠けたり、外れる事があります。神経の治療や抜歯が必要な場合があります。また、歯並びが変わる事により違和感を生じる事があります。
施術の価格:1本 77,000円〜220,000円
治療前 治療後
施術名:セラミック矯正
施術の説明:セラミック治療は形の悪い差し歯、被せ物を治したり、部分的な歯並びの矯正を行うことができる治療です。短期間で歯並びの改善まで実現することが可能です。
施術の副作用(リスク):疼痛・咬合時痛・冷水痛・抜歯を伴う場合は腫脹や出血などを生じる事があります。麻酔を行う場合、腫れやむくみを生じる事があります。セラミック・仮歯が欠けたり、外れる事があります。神経の治療や抜歯が必要な場合があります。また、歯並びが変わる事により違和感を生じる事があります。
施術の価格:1本 77,000円〜220,000円
治療前 治療後
施術名:セラミック矯正
施術の説明:セラミック治療は形の悪い差し歯、被せ物を治したり、部分的な歯並びの矯正を行うことができる治療です。短期間で歯並びの改善まで実現することが可能です。
施術の副作用(リスク):疼痛・咬合時痛・冷水痛・抜歯を伴う場合は腫脹や出血などを生じる事があります。麻酔を行う場合、腫れやむくみを生じる事があります。セラミック・仮歯が欠けたり、外れる事があります。神経の治療や抜歯が必要な場合があります。また、歯並びが変わる事により違和感を生じる事があります。
施術の価格:1本 77,000円〜220,000円
治療前 治療後
施術名:セラミック矯正
施術の説明:セラミック治療は形の悪い差し歯、被せ物を治したり、部分的な歯並びの矯正を行うことができる治療です。短期間で歯並びの改善まで実現することが可能です。
施術の副作用(リスク):疼痛・咬合時痛・冷水痛・抜歯を伴う場合は腫脹や出血などを生じる事があります。麻酔を行う場合、腫れやむくみを生じる事があります。セラミック・仮歯が欠けたり、外れる事があります。神経の治療や抜歯が必要な場合があります。また、歯並びが変わる事により違和感を生じる事があります。
施術の価格:1本 77,000円〜220,000円
治療前 治療後
施術名:セラミック矯正
施術の説明:セラミック治療は形の悪い差し歯、被せ物を治したり、部分的な歯並びの矯正を行うことができる治療です。短期間で歯並びの改善まで実現することが可能です。
施術の副作用(リスク):疼痛・咬合時痛・冷水痛・抜歯を伴う場合は腫脹や出血などを生じる事があります。麻酔を行う場合、腫れやむくみを生じる事があります。セラミック・仮歯が欠けたり、外れる事があります。神経の治療や抜歯が必要な場合があります。また、歯並びが変わる事により違和感を生じる事があります。
施術の価格:1本 77,000円〜220,000円
治療前 治療後
施術名:セラミック矯正
施術の説明:セラミック治療は形の悪い差し歯、被せ物を治したり、部分的な歯並びの矯正を行うことができる治療です。短期間で歯並びの改善まで実現することが可能です。
施術の副作用(リスク):疼痛・咬合時痛・冷水痛・抜歯を伴う場合は腫脹や出血などを生じる事があります。麻酔を行う場合、腫れやむくみを生じる事があります。セラミック・仮歯が欠けたり、外れる事があります。神経の治療や抜歯が必要な場合があります。また、歯並びが変わる事により違和感を生じる事があります。
施術の価格:1本 77,000円〜220,000円
側切歯口蓋側転移・形態不全の治療
治療前
治療後
施術名:セラミック矯正
施術の説明:セラミック治療は形の悪い差し歯、被せ物を治したり、部分的な歯並びの矯正を行うことができる治療です。短期間で歯並びの改善まで実現することが可能です。
施術の副作用(リスク):疼痛・咬合時痛・冷水痛・抜歯を伴う場合は腫脹や出血などを生じる事があります。麻酔を行う場合、腫れやむくみを生じる事があります。セラミック・仮歯が欠けたり、外れる事があります。神経の治療や抜歯が必要な場合があります。また、歯並びが変わる事により違和感を生じる事があります。
施術の価格:1本 77,000円〜220,000円
治療前
治療後
施術名:セラミック矯正
施術の説明:セラミック治療は形の悪い差し歯、被せ物を治したり、部分的な歯並びの矯正を行うことができる治療です。短期間で歯並びの改善まで実現することが可能です。
施術の副作用(リスク):疼痛・咬合時痛・冷水痛・抜歯を伴う場合は腫脹や出血などを生じる事があります。麻酔を行う場合、腫れやむくみを生じる事があります。セラミック・仮歯が欠けたり、外れる事があります。神経の治療や抜歯が必要な場合があります。また、歯並びが変わる事により違和感を生じる事があります。
施術の価格:1本 77,000円〜220,000円
治療前
治療後
施術名:セラミック矯正
施術の説明:セラミック治療は形の悪い差し歯、被せ物を治したり、部分的な歯並びの矯正を行うことができる治療です。短期間で歯並びの改善まで実現することが可能です。
施術の副作用(リスク):疼痛・咬合時痛・冷水痛・抜歯を伴う場合は腫脹や出血などを生じる事があります。麻酔を行う場合、腫れやむくみを生じる事があります。セラミック・仮歯が欠けたり、外れる事があります。神経の治療や抜歯が必要な場合があります。また、歯並びが変わる事により違和感を生じる事があります。
施術の価格:1本 77,000円〜220,000円
治療前
治療後
施術名:セラミック矯正
施術の説明:セラミック治療は形の悪い差し歯、被せ物を治したり、部分的な歯並びの矯正を行うことができる治療です。短期間で歯並びの改善まで実現することが可能です。
施術の副作用(リスク):疼痛・咬合時痛・冷水痛・抜歯を伴う場合は腫脹や出血などを生じる事があります。麻酔を行う場合、腫れやむくみを生じる事があります。セラミック・仮歯が欠けたり、外れる事があります。神経の治療や抜歯が必要な場合があります。また、歯並びが変わる事により違和感を生じる事があります。
施術の価格:1本 77,000円〜220,000円
治療前
治療後
施術名:セラミック矯正
施術の説明:セラミック治療は形の悪い差し歯、被せ物を治したり、部分的な歯並びの矯正を行うことができる治療です。短期間で歯並びの改善まで実現することが可能です。
施術の副作用(リスク):疼痛・咬合時痛・冷水痛・抜歯を伴う場合は腫脹や出血などを生じる事があります。麻酔を行う場合、腫れやむくみを生じる事があります。セラミック・仮歯が欠けたり、外れる事があります。神経の治療や抜歯が必要な場合があります。また、歯並びが変わる事により違和感を生じる事があります。
施術の価格:1本 77,000円〜220,000円
治療前
治療後
施術名:セラミック矯正
施術の説明:セラミック治療は形の悪い差し歯、被せ物を治したり、部分的な歯並びの矯正を行うことができる治療です。短期間で歯並びの改善まで実現することが可能です。
施術の副作用(リスク):疼痛・咬合時痛・冷水痛・抜歯を伴う場合は腫脹や出血などを生じる事があります。麻酔を行う場合、腫れやむくみを生じる事があります。セラミック・仮歯が欠けたり、外れる事があります。神経の治療や抜歯が必要な場合があります。また、歯並びが変わる事により違和感を生じる事があります。
施術の価格:1本 77,000円〜220,000円
治療前
治療後
施術名:セラミック矯正
施術の説明:セラミック治療は形の悪い差し歯、被せ物を治したり、部分的な歯並びの矯正を行うことができる治療です。短期間で歯並びの改善まで実現することが可能です。
施術の副作用(リスク):疼痛・咬合時痛・冷水痛・抜歯を伴う場合は腫脹や出血などを生じる事があります。麻酔を行う場合、腫れやむくみを生じる事があります。セラミック・仮歯が欠けたり、外れる事があります。神経の治療や抜歯が必要な場合があります。また、歯並びが変わる事により違和感を生じる事があります。
施術の価格:1本 77,000円〜220,000円
治療前
治療後
施術名:セラミック矯正
施術の説明:セラミック治療は形の悪い差し歯、被せ物を治したり、部分的な歯並びの矯正を行うことができる治療です。短期間で歯並びの改善まで実現することが可能です。
施術の副作用(リスク):疼痛・咬合時痛・冷水痛・抜歯を伴う場合は腫脹や出血などを生じる事があります。麻酔を行う場合、腫れやむくみを生じる事があります。セラミック・仮歯が欠けたり、外れる事があります。神経の治療や抜歯が必要な場合があります。また、歯並びが変わる事により違和感を生じる事があります。
施術の価格:1本 77,000円〜220,000円
治療前
治療後
施術名:セラミック矯正
施術の説明:セラミック治療は形の悪い差し歯、被せ物を治したり、部分的な歯並びの矯正を行うことができる治療です。短期間で歯並びの改善まで実現することが可能です。
施術の副作用(リスク):疼痛・咬合時痛・冷水痛・抜歯を伴う場合は腫脹や出血などを生じる事があります。麻酔を行う場合、腫れやむくみを生じる事があります。セラミック・仮歯が欠けたり、外れる事があります。神経の治療や抜歯が必要な場合があります。また、歯並びが変わる事により違和感を生じる事があります。
施術の価格:1本 77,000円〜220,000円
治療前
治療後
施術名:セラミック矯正
施術の説明:セラミック治療は形の悪い差し歯、被せ物を治したり、部分的な歯並びの矯正を行うことができる治療です。短期間で歯並びの改善まで実現することが可能です。
施術の副作用(リスク):疼痛・咬合時痛・冷水痛・抜歯を伴う場合は腫脹や出血などを生じる事があります。麻酔を行う場合、腫れやむくみを生じる事があります。セラミック・仮歯が欠けたり、外れる事があります。神経の治療や抜歯が必要な場合があります。また、歯並びが変わる事により違和感を生じる事があります。
施術の価格:1本 77,000円〜220,000円
治療前
治療後
施術名:セラミック矯正
施術の説明:セラミック治療は形の悪い差し歯、被せ物を治したり、部分的な歯並びの矯正を行うことができる治療です。短期間で歯並びの改善まで実現することが可能です。
施術の副作用(リスク):疼痛・咬合時痛・冷水痛・抜歯を伴う場合は腫脹や出血などを生じる事があります。麻酔を行う場合、腫れやむくみを生じる事があります。セラミック・仮歯が欠けたり、外れる事があります。神経の治療や抜歯が必要な場合があります。また、歯並びが変わる事により違和感を生じる事があります。
施術の価格:1本 77,000円〜220,000円
治療前
治療後
施術名:セラミック矯正
施術の説明:セラミック治療は形の悪い差し歯、被せ物を治したり、部分的な歯並びの矯正を行うことができる治療です。短期間で歯並びの改善まで実現することが可能です。
施術の副作用(リスク):疼痛・咬合時痛・冷水痛・抜歯を伴う場合は腫脹や出血などを生じる事があります。麻酔を行う場合、腫れやむくみを生じる事があります。セラミック・仮歯が欠けたり、外れる事があります。神経の治療や抜歯が必要な場合があります。また、歯並びが変わる事により違和感を生じる事があります。
施術の価格:1本 77,000円〜220,000円
治療前
治療後
施術名:セラミック矯正
施術の説明:セラミック治療は形の悪い差し歯、被せ物を治したり、部分的な歯並びの矯正を行うことができる治療です。短期間で歯並びの改善まで実現することが可能です。
施術の副作用(リスク):疼痛・咬合時痛・冷水痛・抜歯を伴う場合は腫脹や出血などを生じる事があります。麻酔を行う場合、腫れやむくみを生じる事があります。セラミック・仮歯が欠けたり、外れる事があります。神経の治療や抜歯が必要な場合があります。また、歯並びが変わる事により違和感を生じる事があります。
施術の価格:1本 77,000円〜220,000円
治療前
治療後
施術名:セラミック矯正
施術の説明:セラミック治療は形の悪い差し歯、被せ物を治したり、部分的な歯並びの矯正を行うことができる治療です。短期間で歯並びの改善まで実現することが可能です。
施術の副作用(リスク):疼痛・咬合時痛・冷水痛・抜歯を伴う場合は腫脹や出血などを生じる事があります。麻酔を行う場合、腫れやむくみを生じる事があります。セラミック・仮歯が欠けたり、外れる事があります。神経の治療や抜歯が必要な場合があります。また、歯並びが変わる事により違和感を生じる事があります。
施術の価格:1本 77,000円〜220,000円
治療前
治療後
施術名:セラミック矯正
施術の説明:セラミック治療は形の悪い差し歯、被せ物を治したり、部分的な歯並びの矯正を行うことができる治療です。短期間で歯並びの改善まで実現することが可能です。
施術の副作用(リスク):疼痛・咬合時痛・冷水痛・抜歯を伴う場合は腫脹や出血などを生じる事があります。麻酔を行う場合、腫れやむくみを生じる事があります。セラミック・仮歯が欠けたり、外れる事があります。神経の治療や抜歯が必要な場合があります。また、歯並びが変わる事により違和感を生じる事があります。
施術の価格:1本 77,000円〜220,000円
治療前
治療後
施術名:セラミック矯正
施術の説明:セラミック治療は形の悪い差し歯、被せ物を治したり、部分的な歯並びの矯正を行うことができる治療です。短期間で歯並びの改善まで実現することが可能です。
施術の副作用(リスク):疼痛・咬合時痛・冷水痛・抜歯を伴う場合は腫脹や出血などを生じる事があります。麻酔を行う場合、腫れやむくみを生じる事があります。セラミック・仮歯が欠けたり、外れる事があります。神経の治療や抜歯が必要な場合があります。また、歯並びが変わる事により違和感を生じる事があります。
施術の価格:1本 77,000円〜220,000円
治療前
治療後
施術名:セラミック矯正
施術の説明:セラミック治療は形の悪い差し歯、被せ物を治したり、部分的な歯並びの矯正を行うことができる治療です。短期間で歯並びの改善まで実現することが可能です。
施術の副作用(リスク):疼痛・咬合時痛・冷水痛・抜歯を伴う場合は腫脹や出血などを生じる事があります。麻酔を行う場合、腫れやむくみを生じる事があります。セラミック・仮歯が欠けたり、外れる事があります。神経の治療や抜歯が必要な場合があります。また、歯並びが変わる事により違和感を生じる事があります。
施術の価格:1本 77,000円〜220,000円
歯の変色の治療
治療前
治療後
施術名:セラミック矯正
施術の説明:セラミック治療は形の悪い差し歯、被せ物を治したり、部分的な歯並びの矯正を行うことができる治療です。短期間で歯並びの改善まで実現することが可能です。
施術の副作用(リスク):疼痛・咬合時痛・冷水痛・抜歯を伴う場合は腫脹や出血などを生じる事があります。麻酔を行う場合、腫れやむくみを生じる事があります。セラミック・仮歯が欠けたり、外れる事があります。神経の治療や抜歯が必要な場合があります。また、歯並びが変わる事により違和感を生じる事があります。
施術の価格:1本 77,000円〜220,000円
治療前
治療後
施術名:セラミック矯正
施術の説明:セラミック治療は形の悪い差し歯、被せ物を治したり、部分的な歯並びの矯正を行うことができる治療です。短期間で歯並びの改善まで実現することが可能です。
施術の副作用(リスク):疼痛・咬合時痛・冷水痛・抜歯を伴う場合は腫脹や出血などを生じる事があります。麻酔を行う場合、腫れやむくみを生じる事があります。セラミック・仮歯が欠けたり、外れる事があります。神経の治療や抜歯が必要な場合があります。また、歯並びが変わる事により違和感を生じる事があります。
施術の価格:1本 77,000円〜220,000円
治療前
治療後
施術名:セラミック矯正
施術の説明:セラミック治療は形の悪い差し歯、被せ物を治したり、部分的な歯並びの矯正を行うことができる治療です。短期間で歯並びの改善まで実現することが可能です。
施術の副作用(リスク):疼痛・咬合時痛・冷水痛・抜歯を伴う場合は腫脹や出血などを生じる事があります。麻酔を行う場合、腫れやむくみを生じる事があります。セラミック・仮歯が欠けたり、外れる事があります。神経の治療や抜歯が必要な場合があります。また、歯並びが変わる事により違和感を生じる事があります。
施術の価格:1本 77,000円〜220,000円
治療前
治療後
施術名:セラミック矯正
施術の説明:セラミック治療は形の悪い差し歯、被せ物を治したり、部分的な歯並びの矯正を行うことができる治療です。短期間で歯並びの改善まで実現することが可能です。
施術の副作用(リスク):疼痛・咬合時痛・冷水痛・抜歯を伴う場合は腫脹や出血などを生じる事があります。麻酔を行う場合、腫れやむくみを生じる事があります。セラミック・仮歯が欠けたり、外れる事があります。神経の治療や抜歯が必要な場合があります。また、歯並びが変わる事により違和感を生じる事があります。
施術の価格:1本 77,000円〜220,000円
治療前
治療後
施術名:セラミック矯正
施術の説明:セラミック治療は形の悪い差し歯、被せ物を治したり、部分的な歯並びの矯正を行うことができる治療です。短期間で歯並びの改善まで実現することが可能です。
施術の副作用(リスク):疼痛・咬合時痛・冷水痛・抜歯を伴う場合は腫脹や出血などを生じる事があります。麻酔を行う場合、腫れやむくみを生じる事があります。セラミック・仮歯が欠けたり、外れる事があります。神経の治療や抜歯が必要な場合があります。また、歯並びが変わる事により違和感を生じる事があります。
施術の価格:1本 77,000円〜220,000円
インビザライン・システムの症例写真
症例①:インビザライン・システムの治療
治療前 治療後
施術名:セラミック矯正
施術の説明:セラミック治療は形の悪い差し歯、被せ物を治したり、部分的な歯並びの矯正を行うことができる治療です。短期間で歯並びの改善まで実現することが可能です。
施術の副作用(リスク):疼痛・咬合時痛・冷水痛・抜歯を伴う場合は腫脹や出血などを生じる事があります。麻酔を行う場合、腫れやむくみを生じる事があります。セラミック・仮歯が欠けたり、外れる事があります。神経の治療や抜歯が必要な場合があります。また、歯並びが変わる事により違和感を生じる事があります。
施術の価格:1本 77,000円〜220,000円
治療前 治療後
施術名:セラミック矯正
施術の説明:セラミック治療は形の悪い差し歯、被せ物を治したり、部分的な歯並びの矯正を行うことができる治療です。短期間で歯並びの改善まで実現することが可能です。
施術の副作用(リスク):疼痛・咬合時痛・冷水痛・抜歯を伴う場合は腫脹や出血などを生じる事があります。麻酔を行う場合、腫れやむくみを生じる事があります。セラミック・仮歯が欠けたり、外れる事があります。神経の治療や抜歯が必要な場合があります。また、歯並びが変わる事により違和感を生じる事があります。
施術の価格:1本 77,000円〜220,000円
治療前 治療後
施術名:セラミック矯正
施術の説明:セラミック治療は形の悪い差し歯、被せ物を治したり、部分的な歯並びの矯正を行うことができる治療です。短期間で歯並びの改善まで実現することが可能です。
施術の副作用(リスク):疼痛・咬合時痛・冷水痛・抜歯を伴う場合は腫脹や出血などを生じる事があります。麻酔を行う場合、腫れやむくみを生じる事があります。セラミック・仮歯が欠けたり、外れる事があります。神経の治療や抜歯が必要な場合があります。また、歯並びが変わる事により違和感を生じる事があります。
施術の価格:1本 77,000円〜220,000円
治療前 治療後
施術名:セラミック矯正
施術の説明:セラミック治療は形の悪い差し歯、被せ物を治したり、部分的な歯並びの矯正を行うことができる治療です。短期間で歯並びの改善まで実現することが可能です。
施術の副作用(リスク):疼痛・咬合時痛・冷水痛・抜歯を伴う場合は腫脹や出血などを生じる事があります。麻酔を行う場合、腫れやむくみを生じる事があります。セラミック・仮歯が欠けたり、外れる事があります。神経の治療や抜歯が必要な場合があります。また、歯並びが変わる事により違和感を生じる事があります。
施術の価格:1本 77,000円〜220,000円
治療前 治療後
施術名:セラミック矯正
施術の説明:セラミック治療は形の悪い差し歯、被せ物を治したり、部分的な歯並びの矯正を行うことができる治療です。短期間で歯並びの改善まで実現することが可能です。
施術の副作用(リスク):疼痛・咬合時痛・冷水痛・抜歯を伴う場合は腫脹や出血などを生じる事があります。麻酔を行う場合、腫れやむくみを生じる事があります。セラミック・仮歯が欠けたり、外れる事があります。神経の治療や抜歯が必要な場合があります。また、歯並びが変わる事により違和感を生じる事があります。
施術の価格:1本 77,000円〜220,000円
治療前 治療後
施術名:セラミック矯正
施術の説明:セラミック治療は形の悪い差し歯、被せ物を治したり、部分的な歯並びの矯正を行うことができる治療です。短期間で歯並びの改善まで実現することが可能です。
施術の副作用(リスク):疼痛・咬合時痛・冷水痛・抜歯を伴う場合は腫脹や出血などを生じる事があります。麻酔を行う場合、腫れやむくみを生じる事があります。セラミック・仮歯が欠けたり、外れる事があります。神経の治療や抜歯が必要な場合があります。また、歯並びが変わる事により違和感を生じる事があります。
施術の価格:1本 77,000円〜220,000円
治療前 治療後
施術名:セラミック矯正
施術の説明:セラミック治療は形の悪い差し歯、被せ物を治したり、部分的な歯並びの矯正を行うことができる治療です。短期間で歯並びの改善まで実現することが可能です。
施術の副作用(リスク):疼痛・咬合時痛・冷水痛・抜歯を伴う場合は腫脹や出血などを生じる事があります。麻酔を行う場合、腫れやむくみを生じる事があります。セラミック・仮歯が欠けたり、外れる事があります。神経の治療や抜歯が必要な場合があります。また、歯並びが変わる事により違和感を生じる事があります。
施術の価格:1本 77,000円〜220,000円
治療前 治療後
施術名:セラミック矯正
施術の説明:セラミック治療は形の悪い差し歯、被せ物を治したり、部分的な歯並びの矯正を行うことができる治療です。短期間で歯並びの改善まで実現することが可能です。
施術の副作用(リスク):疼痛・咬合時痛・冷水痛・抜歯を伴う場合は腫脹や出血などを生じる事があります。麻酔を行う場合、腫れやむくみを生じる事があります。セラミック・仮歯が欠けたり、外れる事があります。神経の治療や抜歯が必要な場合があります。また、歯並びが変わる事により違和感を生じる事があります。
施術の価格:1本 77,000円〜220,000円
治療前 治療後
施術名:セラミック矯正
施術の説明:セラミック治療は形の悪い差し歯、被せ物を治したり、部分的な歯並びの矯正を行うことができる治療です。短期間で歯並びの改善まで実現することが可能です。
施術の副作用(リスク):疼痛・咬合時痛・冷水痛・抜歯を伴う場合は腫脹や出血などを生じる事があります。麻酔を行う場合、腫れやむくみを生じる事があります。セラミック・仮歯が欠けたり、外れる事があります。神経の治療や抜歯が必要な場合があります。また、歯並びが変わる事により違和感を生じる事があります。
施術の価格:1本 77,000円〜220,000円
治療前 治療後
施術名:セラミック矯正
施術の説明:セラミック治療は形の悪い差し歯、被せ物を治したり、部分的な歯並びの矯正を行うことができる治療です。短期間で歯並びの改善まで実現することが可能です。
施術の副作用(リスク):疼痛・咬合時痛・冷水痛・抜歯を伴う場合は腫脹や出血などを生じる事があります。麻酔を行う場合、腫れやむくみを生じる事があります。セラミック・仮歯が欠けたり、外れる事があります。神経の治療や抜歯が必要な場合があります。また、歯並びが変わる事により違和感を生じる事があります。
施術の価格:1本 77,000円〜220,000円
治療前 治療後
施術名:セラミック矯正
施術の説明:セラミック治療は形の悪い差し歯、被せ物を治したり、部分的な歯並びの矯正を行うことができる治療です。短期間で歯並びの改善まで実現することが可能です。
施術の副作用(リスク):疼痛・咬合時痛・冷水痛・抜歯を伴う場合は腫脹や出血などを生じる事があります。麻酔を行う場合、腫れやむくみを生じる事があります。セラミック・仮歯が欠けたり、外れる事があります。神経の治療や抜歯が必要な場合があります。また、歯並びが変わる事により違和感を生じる事があります。
施術の価格:1本 77,000円〜220,000円
治療前 治療後
施術名:セラミック矯正
施術の説明:セラミック治療は形の悪い差し歯、被せ物を治したり、部分的な歯並びの矯正を行うことができる治療です。短期間で歯並びの改善まで実現することが可能です。
施術の副作用(リスク):疼痛・咬合時痛・冷水痛・抜歯を伴う場合は腫脹や出血などを生じる事があります。麻酔を行う場合、腫れやむくみを生じる事があります。セラミック・仮歯が欠けたり、外れる事があります。神経の治療や抜歯が必要な場合があります。また、歯並びが変わる事により違和感を生じる事があります。
施術の価格:1本 77,000円〜220,000円
治療前 治療後
施術名:セラミック矯正
施術の説明:セラミック治療は形の悪い差し歯、被せ物を治したり、部分的な歯並びの矯正を行うことができる治療です。短期間で歯並びの改善まで実現することが可能です。
施術の副作用(リスク):疼痛・咬合時痛・冷水痛・抜歯を伴う場合は腫脹や出血などを生じる事があります。麻酔を行う場合、腫れやむくみを生じる事があります。セラミック・仮歯が欠けたり、外れる事があります。神経の治療や抜歯が必要な場合があります。また、歯並びが変わる事により違和感を生じる事があります。
施術の価格:1本 77,000円〜220,000円
治療前 治療後
施術名:セラミック矯正
施術の説明:セラミック治療は形の悪い差し歯、被せ物を治したり、部分的な歯並びの矯正を行うことができる治療です。短期間で歯並びの改善まで実現することが可能です。
施術の副作用(リスク):疼痛・咬合時痛・冷水痛・抜歯を伴う場合は腫脹や出血などを生じる事があります。麻酔を行う場合、腫れやむくみを生じる事があります。セラミック・仮歯が欠けたり、外れる事があります。神経の治療や抜歯が必要な場合があります。また、歯並びが変わる事により違和感を生じる事があります。
施術の価格:1本 77,000円〜220,000円
治療前 治療後
施術名:セラミック矯正
施術の説明:セラミック治療は形の悪い差し歯、被せ物を治したり、部分的な歯並びの矯正を行うことができる治療です。短期間で歯並びの改善まで実現することが可能です。
施術の副作用(リスク):疼痛・咬合時痛・冷水痛・抜歯を伴う場合は腫脹や出血などを生じる事があります。麻酔を行う場合、腫れやむくみを生じる事があります。セラミック・仮歯が欠けたり、外れる事があります。神経の治療や抜歯が必要な場合があります。また、歯並びが変わる事により違和感を生じる事があります。
施術の価格:1本 77,000円〜220,000円
治療前 治療後
施術名:セラミック矯正
施術の説明:セラミック治療は形の悪い差し歯、被せ物を治したり、部分的な歯並びの矯正を行うことができる治療です。短期間で歯並びの改善まで実現することが可能です。
施術の副作用(リスク):疼痛・咬合時痛・冷水痛・抜歯を伴う場合は腫脹や出血などを生じる事があります。麻酔を行う場合、腫れやむくみを生じる事があります。セラミック・仮歯が欠けたり、外れる事があります。神経の治療や抜歯が必要な場合があります。また、歯並びが変わる事により違和感を生じる事があります。
施術の価格:1本 77,000円〜220,000円
治療前 治療後
施術名:セラミック矯正
施術の説明:セラミック治療は形の悪い差し歯、被せ物を治したり、部分的な歯並びの矯正を行うことができる治療です。短期間で歯並びの改善まで実現することが可能です。
施術の副作用(リスク):疼痛・咬合時痛・冷水痛・抜歯を伴う場合は腫脹や出血などを生じる事があります。麻酔を行う場合、腫れやむくみを生じる事があります。セラミック・仮歯が欠けたり、外れる事があります。神経の治療や抜歯が必要な場合があります。また、歯並びが変わる事により違和感を生じる事があります。
施術の価格:1本 77,000円〜220,000円
治療前 治療後
施術名:セラミック矯正
施術の説明:セラミック治療は形の悪い差し歯、被せ物を治したり、部分的な歯並びの矯正を行うことができる治療です。短期間で歯並びの改善まで実現することが可能です。
施術の副作用(リスク):疼痛・咬合時痛・冷水痛・抜歯を伴う場合は腫脹や出血などを生じる事があります。麻酔を行う場合、腫れやむくみを生じる事があります。セラミック・仮歯が欠けたり、外れる事があります。神経の治療や抜歯が必要な場合があります。また、歯並びが変わる事により違和感を生じる事があります。
施術の価格:1本 77,000円〜220,000円
治療前 治療後
施術名:セラミック矯正
施術の説明:セラミック治療は形の悪い差し歯、被せ物を治したり、部分的な歯並びの矯正を行うことができる治療です。短期間で歯並びの改善まで実現することが可能です。
施術の副作用(リスク):疼痛・咬合時痛・冷水痛・抜歯を伴う場合は腫脹や出血などを生じる事があります。麻酔を行う場合、腫れやむくみを生じる事があります。セラミック・仮歯が欠けたり、外れる事があります。神経の治療や抜歯が必要な場合があります。また、歯並びが変わる事により違和感を生じる事があります。
施術の価格:1本 77,000円〜220,000円
治療前 治療後
施術名:セラミック矯正
施術の説明:セラミック治療は形の悪い差し歯、被せ物を治したり、部分的な歯並びの矯正を行うことができる治療です。短期間で歯並びの改善まで実現することが可能です。
施術の副作用(リスク):疼痛・咬合時痛・冷水痛・抜歯を伴う場合は腫脹や出血などを生じる事があります。麻酔を行う場合、腫れやむくみを生じる事があります。セラミック・仮歯が欠けたり、外れる事があります。神経の治療や抜歯が必要な場合があります。また、歯並びが変わる事により違和感を生じる事があります。
施術の価格:1本 77,000円〜220,000円
治療前 治療後
施術名:セラミック矯正
施術の説明:セラミック治療は形の悪い差し歯、被せ物を治したり、部分的な歯並びの矯正を行うことができる治療です。短期間で歯並びの改善まで実現することが可能です。
施術の副作用(リスク):疼痛・咬合時痛・冷水痛・抜歯を伴う場合は腫脹や出血などを生じる事があります。麻酔を行う場合、腫れやむくみを生じる事があります。セラミック・仮歯が欠けたり、外れる事があります。神経の治療や抜歯が必要な場合があります。また、歯並びが変わる事により違和感を生じる事があります。
施術の価格:1本 77,000円〜220,000円
治療前 治療後
施術名:セラミック矯正
施術の説明:セラミック治療は形の悪い差し歯、被せ物を治したり、部分的な歯並びの矯正を行うことができる治療です。短期間で歯並びの改善まで実現することが可能です。
施術の副作用(リスク):疼痛・咬合時痛・冷水痛・抜歯を伴う場合は腫脹や出血などを生じる事があります。麻酔を行う場合、腫れやむくみを生じる事があります。セラミック・仮歯が欠けたり、外れる事があります。神経の治療や抜歯が必要な場合があります。また、歯並びが変わる事により違和感を生じる事があります。
施術の価格:1本 77,000円〜220,000円
インビザライン・システムの症例写真
実際にインビザライン治療を受けられた方の症例写真を掲載しています。治療をご検討の方はぜひご参考くださいませ。
治療前 治療後(11ヶ月)
施術名:マウスピース矯正
施術の説明:歯科矯正でも目立ちにくい新しい矯正方法です。透明に近いマウスピース型の矯正装置(アライナー)のため、歯に装着しても目立つことなく歯並びを矯正することが出来ます。また、一人ひとりの合わせて矯正装置を作製いたします。
施術の副作用(リスク):疼痛・咬合時痛を生じる事があります。継続使用により緩んだり、外れやすくなる事があります。割れたり壊れたりする事があります。
施術の価格:427,600円~822,800円
治療前 治療後(16ヶ月)
施術名:マウスピース矯正
施術の説明:歯科矯正でも目立ちにくい新しい矯正方法です。透明に近いマウスピース型の矯正装置(アライナー)のため、歯に装着しても目立つことなく歯並びを矯正することが出来ます。また、一人ひとりの合わせて矯正装置を作製いたします。
施術の副作用(リスク):疼痛・咬合時痛を生じる事があります。継続使用により緩んだり、外れやすくなる事があります。割れたり壊れたりする事があります。
施術の価格:427,600円~822,800円
治療前 治療後(8ヶ月)
施術名:マウスピース矯正
施術の説明:歯科矯正でも目立ちにくい新しい矯正方法です。透明に近いマウスピース型の矯正装置(アライナー)のため、歯に装着しても目立つことなく歯並びを矯正することが出来ます。また、一人ひとりの合わせて矯正装置を作製いたします。
施術の副作用(リスク):疼痛・咬合時痛を生じる事があります。継続使用により緩んだり、外れやすくなる事があります。割れたり壊れたりする事があります。
施術の価格:427,600円~822,800円
治療前 治療後(8ヶ月)
施術名:マウスピース矯正
施術の説明:歯科矯正でも目立ちにくい新しい矯正方法です。透明に近いマウスピース型の矯正装置(アライナー)のため、歯に装着しても目立つことなく歯並びを矯正することが出来ます。また、一人ひとりの合わせて矯正装置を作製いたします。
施術の副作用(リスク):疼痛・咬合時痛を生じる事があります。継続使用により緩んだり、外れやすくなる事があります。割れたり壊れたりする事があります。
施術の価格:427,600円~822,800円
治療前 治療後(8ヶ月)
施術名:マウスピース矯正
施術の説明:歯科矯正でも目立ちにくい新しい矯正方法です。透明に近いマウスピース型の矯正装置(アライナー)のため、歯に装着しても目立つことなく歯並びを矯正することが出来ます。また、一人ひとりの合わせて矯正装置を作製いたします。
施術の副作用(リスク):疼痛・咬合時痛を生じる事があります。継続使用により緩んだり、外れやすくなる事があります。割れたり壊れたりする事があります。
施術の価格:427,600円~822,800円
治療前 治療後(8ヶ月)
施術名:マウスピース矯正
施術の説明:歯科矯正でも目立ちにくい新しい矯正方法です。透明に近いマウスピース型の矯正装置(アライナー)のため、歯に装着しても目立つことなく歯並びを矯正することが出来ます。また、一人ひとりの合わせて矯正装置を作製いたします。
施術の副作用(リスク):疼痛・咬合時痛を生じる事があります。継続使用により緩んだり、外れやすくなる事があります。割れたり壊れたりする事があります。
施術の価格:427,600円~822,800円
治療前 治療後(8ヶ月)
施術名:マウスピース矯正
施術の説明:歯科矯正でも目立ちにくい新しい矯正方法です。透明に近いマウスピース型の矯正装置(アライナー)のため、歯に装着しても目立つことなく歯並びを矯正することが出来ます。また、一人ひとりの合わせて矯正装置を作製いたします。
施術の副作用(リスク):疼痛・咬合時痛を生じる事があります。継続使用により緩んだり、外れやすくなる事があります。割れたり壊れたりする事があります。
施術の価格:427,600円~822,800円
治療前 治療後(8ヶ月)
施術名:マウスピース矯正
施術の説明:歯科矯正でも目立ちにくい新しい矯正方法です。透明に近いマウスピース型の矯正装置(アライナー)のため、歯に装着しても目立つことなく歯並びを矯正することが出来ます。また、一人ひとりの合わせて矯正装置を作製いたします。
施術の副作用(リスク):疼痛・咬合時痛を生じる事があります。継続使用により緩んだり、外れやすくなる事があります。割れたり壊れたりする事があります。
施術の価格:427,600円~822,800円
治療前 治療後(8ヶ月)
施術名:マウスピース矯正
施術の説明:歯科矯正でも目立ちにくい新しい矯正方法です。透明に近いマウスピース型の矯正装置(アライナー)のため、歯に装着しても目立つことなく歯並びを矯正することが出来ます。また、一人ひとりの合わせて矯正装置を作製いたします。
施術の副作用(リスク):疼痛・咬合時痛を生じる事があります。継続使用により緩んだり、外れやすくなる事があります。割れたり壊れたりする事があります。
施術の価格:427,600円~822,800円

